MEDICAL
診療案内
予防歯科
自分の歯を守るために
世界で1番歯科疾患が少ないと言われる国をご存じですか? それはスウェーデンです。スウェーデンでは、何と91%の国民が定期健診に通っており、80歳時点での残存歯数の平均は20本以上です。ちなみに日本は8本なので、これだけでも違いを実感できると思います。成人の歯は、親知らずを抜くと全部で28本ですので、スウェーデンではほとんどの方が、高齢になっても自分の歯で食事を楽しんでいることになります。
二度と戻らない自分の歯をできるだけ大切にしていただくために、当院では予防歯科に積極的に取り組んでいます。
効果的な予防歯科
予防の方法は、ご自宅で行う「セルフケア」と、歯科医院で行う「プロフェッショナルケア」があります。
当院ではまずプロフェッショナルケアを施した後、セルフケアの方法をアドバイス・レクチャーさせていただきます。
プロフェッショナルケア
エアフロー
専用のパウダーをウォータースプレーで歯の表面に吹き付け、表面に付着した歯垢(プラーク)、しつこい着色などの汚れを吹き飛ばす方法です。一般的に行われるクリーニングではブラシを使用しますが、歯と歯の間まで届かなかったり、歯ぐきとの境目を磨こうとして歯ぐきを傷めてしまう可能性があります。エアフローでは、勢い良くパウダーを吹き付けることで汚れを一気に洗い流します。細かい粒子によって、歯と歯の間や歯ぐきとの境目も綺麗に洗浄することが可能で、タバコのヤニ・コーヒーなどのしつこい着色も取り除きます。
PMTC
専門の器具を使用して行われる歯のクリーニングです。磨き残しや、歯ブラシでは磨けない箇所も含めて、徹底的に綺麗にします。痛みはまったくなく、気持ちよくて眠ってしまう患者さまもいらっしゃいます。
汚れを落とすことで歯本来の白さが戻りますので、美容目的でもご利用いただけます。また、PMTC後、しばらくは汚れが付着しづらくなりますので、虫歯や歯周病の予防にもなります。
歯石とり(スケーリング)
歯周病の初期治療でも行われる歯石とり(スケーリング)です。歯石とは歯垢が硬くなったもので、歯垢とは、細菌のかたまりです。ほとんどの細菌は唾液で流されますが、歯と歯の隙間など、唾液の流れが悪い場所に付着すると増殖を始めます。
付着して2~3日経つと歯垢は硬くなり、歯石になります。歯石になると歯ブラシでは取り除けませんので、専用の器具を使って歯科医院で取り除く必要があります。
セルフケア
歯磨き
毎食後、すぐに磨くのが理想です。外出先などで磨けない場合も、その分夜しっかり磨けば大丈夫です。しっかりと磨けているつもりでも磨き残しができることがありますので、定期健診でしっかりチェックしてもらい、正しい歯磨きの方法を身に着けましょう。
歯磨き剤は、虫歯の発生と進行を防ぐ、フッ素入りの歯磨き剤を使用しましょう。歯科医院で販売しているものは、市販の製品より含まれているフッ素が多いのでお勧めです。
デンタルフロス・歯間ブラシ
まだまだ使用している方の少ないデンタルフロスと歯間ブラシ。歯ブラシでは届きにくい、歯と歯の隙間の汚れを取り除くための道具です。歯ブラシのみでの歯垢除去率が61%であるのに対し、歯ブラシとデンタルフロス・歯間ブラシを併用すると80%まで高まります。
また、歯と歯の隙間に入り込んだ歯垢は口臭の原因にもなります。デンタルフロス・歯間ブラシを毎日活用することで口臭が改善されることがあります。
審美歯科
審美歯科治療とは
審美歯科とは、見た目の美しさだけを重視した治療ではありません。歯ぐきとの調和・噛み合わせなど、機能性も考慮された総合治療です。
例えばこんなことでお悩みの方へ
詰め物・被せ物
当院で取り扱っている詰め物(インレー)
保険のインレー
保険が適用になる、銀色の詰め物です。審美性に欠ける他、金属アレルギーが発症するリスクがあります。
セラミックインレー
セラミック(陶器)で作られた詰め物です。透明感があり、色を細かく設定できるため、周囲の歯になじませやすいです。金属を一切使用しないので、金属アレルギーになる心配はありません。強度もあるため、欠けることはほとんどありません。
ラミネートベニア
歯の表面を薄く削り、セラミック製の薄片を貼り付ける治療法です。主に前歯の治療で使用されており、すきっ歯や歯の形が気になる方にお勧めの治療です。
当院で取り扱っている被せ物(クラウン)
保険のクラウン
保険が適用になる、銀色の被せ物です。審美性に欠ける他、金属アレルギーが発症するリスクがあります。
メタルボンドクラウン
内側を金属で作り、外側にセラミックを貼り付ける被せ物です。内側が金属であるため強度が強く、また金属はアレルギー発症のリスクが低い金属を使用しています。オールセラミックに比べると透明感はなく、色調はやや限られます。
オールセラミッククラウン
セラミック(陶器)で作られた詰め物です。透明感があり、色を細かく設定できるため、周囲の歯になじませやすいです。金属を一切使用しないので、金属アレルギーになる心配はありません。強度もあるため、欠けることはほとんどありません。
ジルコニアクラウン(奥歯のみ)
従来のセラミックより硬い、ジルコニアという素材を使用した被せ物です。経年による変色・劣化がほとんどありませんので、より長持ちさせたい方にお勧めです。金属アレルギーになる心配もありません。透明感に欠け、前歯に使用すると周囲の歯から浮いてしまうため、奥歯にのみ使用しています。
メタルフリー治療
歯ぐきの黒ずみが気になる方、原因不明の体調不良に悩まされている方、以前の歯科治療で銀歯を入れていませんか?
保険で使われている銀歯は、年数が経つと唾液によって金属イオンが溶け出し、アレルゲンを作ります。これにより歯ぐきが黒ずんだり、口内炎・アトピー性皮膚炎などのアレルギー症状や、頭痛などの全身症状があらわれることがあります。
もし金属アレルギーの疑いがある方は、まずはお気軽にご相談ください。
必要に応じて金属を取り除き、セラミックなどの体にやさしい素材で再治療を行います。
ホワイトニング
歯を白くするためには、「PMTC」という歯のクリーニングが効果的です。
しかし、これはあくまで歯の汚れを取り除くことが目的で、経年による着色を取り除くことはできません。
だからと言って、歯をより白くするために健康な歯を削って白い被せ物をするのは、将来のことを考えるとあまり良くありません。
そこで、歯の着色を漂泊する「ホワイトニング」をお勧めします。
歯を削ることは一切ありませんので、安全に歯を白くすることが可能です。
ホワイトニングには、ご自宅で行うホームホワイトニングと、歯科医院で行うオフィスホワイトニングがございます。
ホームホワイトニング
ご自宅で手軽に行えるのがホームホワイトニングです。まず、専用のマウスピース(カスタムトレー)をお作りします。トレーが出来上がったら使い方を説明し、ホワイトニングに必要なキットをお渡しします。毎日2時間、2週間程で効果があらわれます。効果があらわれるまでに時間はかかりますが、オフィスホワイトニングと比べて長持ちします。
ホームホワイトニングの流れ
トレーに薬剤を入れます
トレーをはめます
2時間待機します
綺麗になりました!
オフィスホワイトニング
ホームホワイトニングと比べて速効性があるのがオフィスホワイトニングです。歯に専用のジェルを塗り、特殊な光を照射することで歯を漂泊します。施術自体は1時間程で終わります。3~5回ほど来院していただくのがベストですが、1回だけでも見て分かるほどの効果があらわれます。オフィスホワイトニングで歯を白くした後、ホームホワイトニングを行うことで、より長持ちします。
ホームホワイトニングの流れ
歯をクリーニングします
歯ぐきを保護します
ジェルを塗布します
光を照射して漂泊します
インプラント
安心・安全のインプラント治療
当院では、歯科用CTを使用した安心・安全なインプラント治療を心がけています。歯科用CTでは、歯ぐきや歯の根の状態はもちろん、神経や血管の位置が詳細に分かるため、その部分を避けてインプラントを挿入することができ、医療事故のリスクを大幅に減らすことができます。
また、インプラント治療においては骨の量・密度が非常に重要になります。骨量・密度が足りないと、インプラントが上手く骨と結合せず、抜けてしまうことがあります。インプラントを固定できる骨質であるかどうかを事前に診断することで、失敗のリスクを更に減らします。
当院で取り扱っているインプラントシステム
当院では、アストラテック社のインプラントシステムを使用しています。アストラテック社のインプラントに使用されているチタンは、人工関節にも使われている生体親和性の高い金属で、骨と強固に結合することができます。天然歯のように、土台となる骨としっかり結合するため、非常に安定します。また、完全に結合するため、インプラントと骨の間に隙間ができることはなく、感染を起こすこともありません。より安全にインプラントを使用していただくために、当院ではアストラテック社のインプラントシステムを採用しています。
外科手術が怖いという方への鎮静麻酔
手術時は局所麻酔を施して痛みを感じないように処置を行いますが、外科手術は怖いという方も多くいらっしゃると思います。そこで当院では、恐怖心を和らげるために鎮静麻酔を取り扱っています。全身麻酔のように意識を完全に失うわけではなく、こちらの呼び掛けには反応できるようなうたた寝状態になる麻酔です。実際に利用された患者さまのお話を聞くと、鎮静麻酔が効いている間の記憶はほとんどないようで、寝ている間に手術が終わった、という方がほとんどです。当院ではインプラント治療に限らず、ご希望の方には鎮静麻酔の処置を行っています。
インプラント治療の流れ
①カウンセリング
当院には専用のカウンセリングコーナーがございます。治療を始める前に、インプラントについて不安なことなどは、すべてお申し出ください。また、患者さまのご要望によっては、インプラントではなく別の治療法を提案させていただくこともございます。
②精密検査
デジタルレントゲン・歯科用CTを使用して、お口の中はもちろん、骨や神経の状態などを確認します。
③検査内容に基づく診断
検査結果を基に、治療計画を説明させていただきます。患者さまご自身にしっかりと納得していただくまで、丁寧に説明いたします。
④前処置
虫歯や歯周病がある場合は、その治療から始めます。また、骨量が足りない場合は再生療法を行い、安全にインプラントが埋入できるように処置をします。
⑤インプラント埋入
インプラントを埋入する手術を行います。本数にもよりますが、手術は1時間程で終了します。手術中は麻酔を施すため痛くありません。麻酔が切れた後は痛み止めを服用していただきますが、1~2日で痛みはなくなります。
⑥治癒期間
埋入したインプラントが骨と結合するまでの期間を設けます。2~6か月ほどかかります。
⑦人工歯の装着
人工歯の部分を作製し、インプラントに装着します。人工歯は、審美性だけではなく噛み合わせなどの機能性も考慮して作製しています。
⑧メンテナンス
インプラントを長持ちさせるためには、メンテナンスがとても重要です。天然歯とは異なり人工物のため、自覚症状があらわれにくく、特に歯周病(インプラント周囲炎)が進行してしまうと、どんなに良い治療を施したとしても、インプラントが抜けてしまいます。今まで以上にお口の健康への意識を高めていただき、定期健診にお越しください。
入れ歯・義歯
入れ歯でお悩みの方へ
「入れ歯では食事が楽しめない……」そんなことはありません。当院では入れ歯についての様々なお悩みにお答えできるよう、数種類の入れ歯をご用意しています。新しく作成される方はもちろん、今お使いの入れ歯が使いづらいという方も、ぜひ1度ご相談にお越しください。
例えばこんなことでお悩みの方へ
部分入れ歯の方
- 安価で入れ歯を作製したい
- 周囲に入れ歯だと気づかれたくない
- 装着時の違和感が気になる
総入れ歯の方
当院の入れ歯・義歯
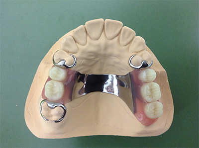
部分入れ歯
保険の部分入れ歯
保険が適用される部分入れ歯です。安価で作製できるのがメリットです。留め具の部分が金属のバネになっていて目立つため、入れ歯をしていることが周囲から気づかれたくないという方にはあまりお勧めできません。
ノンクラスプデンチャー
留め具の部分を歯ぐきを同じ色にすることによって、入れ歯をしていることが周囲に気づかれにくくなっています。自費治療の中では比較的安価で作製できます。
金属床義歯(部分入れ歯)
歯ぐきの上に乗る「床」が金属でできている部分入れ歯です。金属は強度があるため、床の部分を薄くすることができ、より違和感が少なくなります。また、金属は熱伝導性に優れており、食べ物の温度を感じることができ、食事を楽しむことができます。
コーヌス義歯
取り外し式の部分入れ歯では、1番安定性のある部分入れ歯です。残っている歯に削って金属をかぶせて、それを土台として入れ歯を固定します。特に、残っている歯が少ない場合にお勧めです。
総入れ歯
保険の総入れ歯
保険が適用になるプラスチック製の入れ歯です。安価で作製でき、調整も容易であることがメリットです。但し、プラスチック製のため噛む力によっては割れやすく、また厚みがあるため違和感を覚える方も多いです。
金属床義歯(総入れ歯)
土台となる部分が金属製の総入れ歯です。金属のため耐久性に優れ、また厚みを抑えることができるため違和感をあまり感じません。また、金属で食べ物の温度が伝わりやすく、食事を美味しく感じるというメリットもあります。
部分入れ歯・総入れ歯共通
インプラント義歯
インプラントを数本埋入し、そこで入れ歯を固定するやり方です。残っている歯が少ない場合、インプラントにしようとすると費用も時間もかかってしまいますが、インプラント義歯では埋入するインプラントは2~4本のため、費用面・時間面ともに負担が少なくなります。インプラントと入れ歯の利点を組み合わせた、良いとこ取りの治療法です。
虫歯治療
歯がしみる、痛い場合はもちろんですが、自覚症状がなくても歯が変色していると初期虫歯の可能性があります。本当に初期の段階であれば、歯を削らなくても問題ありませんが、そのままケアを怠るとどんどん進行しますので、早めに診察にお越しください。
当院では、表面麻酔、電動麻酔などを利用してできるだけ痛みを感じないよう心掛けています。また、どうしても歯医者が怖いという方のために鎮静麻酔を取り扱っています。寝ている間に治療が終わるため、歯科恐怖症の方にはお勧めです。
歯周病治療
歯周病は、サイレント・ディジーズ(静かなる病気)と言われており、痛みなどの自覚症状がほとんどありません。但し、歯磨きの際に歯ぐきから出血したり、歯ぐきが少し変色したりなど、見た目で分かる症状が初期の段階からあらわれますので、普段からの観察がとても重要です。すぐにご相談いただくか、定期的に通院して初期段階での発見に努めましょう。
歯周病は歯ぐきや骨を溶かす病気で、溶けてしまった歯ぐき・骨は元に戻りません。当院では、歯周病治療後に再発しないよう、予防歯科に力を入れています。
小児歯科
お子さまが歯医者に対しての恐怖心を抱かないように、お子さまの気持ちに寄り添った治療を行っています。無理やり抑えつけるのではなく、自分から口を開けてくれるように根気よく声をかけていきます。
歯科に対する恐怖心を植え付けないためにも、当院では予防歯科に力を入れています。虫歯がなくても定期的に通院していただき、歯医者は歯を削る場所ではなくお口を綺麗にする場所だということを理解させてあげてください。
また、歯医者に楽しく通院できるよう、キッズスペースも完備しています。
プレオルソ
(子供のマウスピース矯正)
当院では子どもの歯列改善に歯列矯正用咬合誘導装置(プレオルソ)というマウスピースを用いた筋機能矯正をご提案しております。
お子さんの成長を利用して将来的な歯並びや咬み合わせを改善します。
痛みが少なく取り外しができる装置ですので、負担を抑えた矯正治療が可能です。
気になる
気になる
はぎしり
気になる
プレオルソの特徴
- 装着時間が短く、取り外しができる
- 歯並びや噛み合わせの改善につながる
- ワイヤー矯正のように痛みがほとんどない
- お口のまわりの筋肉のバランスを整える
- あごの骨の前後的・左右的なズレの改善ができる
- 通院の頻度が少ない
- 一般的な小児矯正よりも費用が抑えられる
医療費控除
-
・医療費控除とは
医療費控除とは、1月から12月までの1年間に自分や家族のために
支払った実質医療費の合計が10万円を超える場合※1に一定の所得控除をうけられる制度です。※2
1年間の医療費合計額 - 保険金等で賄われた金額 - 10万円※1
= 控除される額 ※2
※1 所得金額が200万円未満の場合は所得金額×5%
※2 控除の上限金額は200万円 -
・歯科の対象
歯科治療費(セラミック等も含む)
不正咬合に対する矯正治療費
お薬代
インプラントの治療費 -
・控除を受けるには
確定申告や還付申告が必要です
レシートや領収書は大切に保管しましょう
年までさかのぼって申告出来ます。
詳しくは最寄りの税務署にお問い合わせください。
